Book Online

Smile Gallery

BEFORE & AFTER GALLERY

Full Mouth Reconstruction + Veneers

Georgetown Cosmetic Dentistry
Georgetown Cosmetic Dentistry

Before

Georgetown Cosmetic Dentistry

After

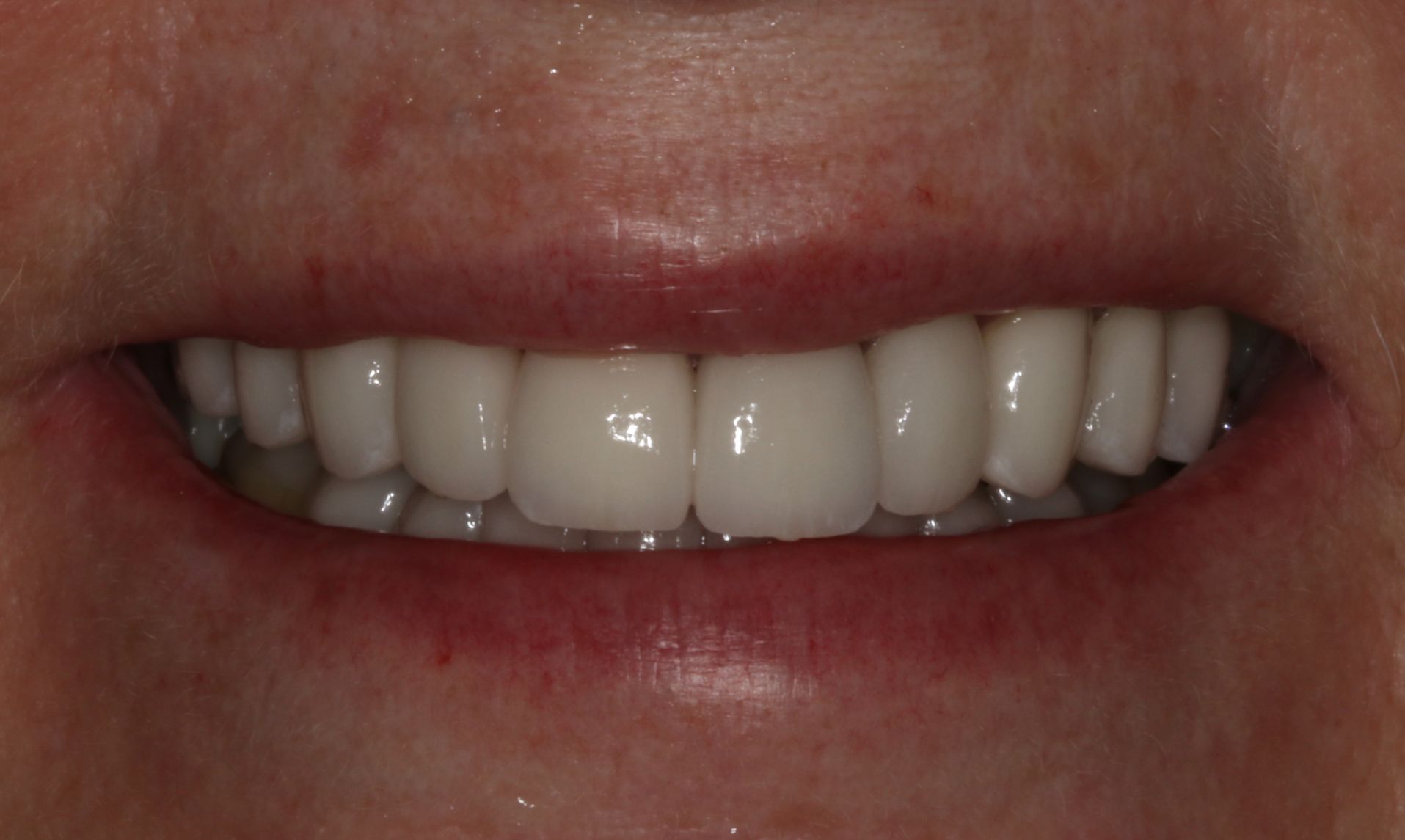
FUll Mouth Reconstruction

Georgetown Cosmetic Dentistry
Georgetown Cosmetic Dentistry

Before

Georgetown Cosmetic Dentistry

After

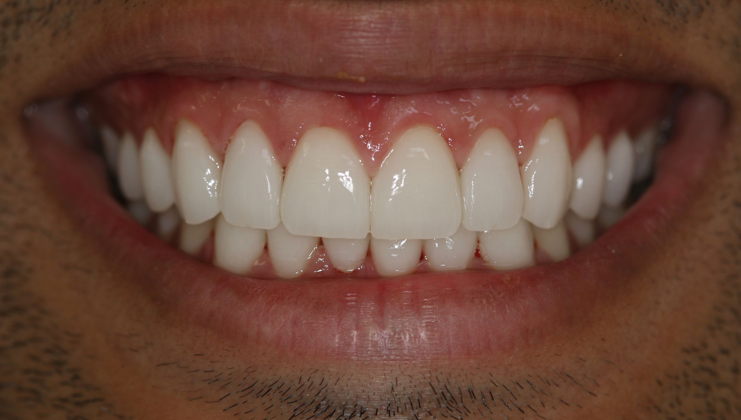
Veneers

Georgetown Cosmetic Dentistry
Georgetown Cosmetic Dentistry

Before

Georgetown Cosmetic Dentistry

After

Invisalign, Transitional bonding

Georgetown Cosmetic Dentistry
Georgetown Cosmetic Dentistry

Before

Georgetown Cosmetic Dentistry

After

Full Mouth Reconstruction

Georgetown Cosmetic Dentistry
Georgetown Cosmetic Dentistry

Before

Georgetown Cosmetic Dentistry

After

Veneers

Georgetown Cosmetic Dentistry
Georgetown Cosmetic Dentistry

Before

Georgetown Cosmetic Dentistry

After

Veneers

Georgetown Cosmetic Dentistry
Georgetown Cosmetic Dentistry

Before

Georgetown Cosmetic Dentistry

After

Veneers

Georgetown Cosmetic Dentistry
Georgetown Cosmetic Dentistry

Before

Georgetown Cosmetic Dentistry

After

Veneers

Georgetown Cosmetic Dentistry

Before

Georgetown Cosmetic Dentistry

After

Veneers

Georgetown Cosmetic Dentistry
Georgetown Cosmetic Dentistry

Before

Georgetown Cosmetic Dentistry

After

6 Veneers

Georgetown Cosmetic Dentistry

Before

Georgetown Cosmetic Dentistry

After

Full Mouth Reconstruction

Georgetown Cosmetic Dentistry

Before

Georgetown Cosmetic Dentistry

After

Changing 4 old Veneers

Georgetown Cosmetic Dentistry

Before

Georgetown Cosmetic Dentistry

After

6 Veneers

Georgetown Cosmetic Dentistry

Before

Georgetown Cosmetic Dentistry

After

Full Mouth Reconstruction

Georgetown Cosmetic Dentistry

Before

Georgetown Cosmetic Dentistry

After

Full upper, Lower veneers

Georgetown Cosmetic Dentistry

Before

Georgetown Cosmetic Dentistry

After

4 Veneers

Georgetown Cosmetic Dentistry

Before

Georgetown Cosmetic Dentistry

After

Georgetown Cosmetic Dentistry

Before

Georgetown Cosmetic Dentistry

After

6 Veneers

Georgetown Cosmetic Dentistry

Before

Georgetown Cosmetic Dentistry

After

Full Mouth Reconstruction

Georgetown Cosmetic Dentistry

Before

Georgetown Cosmetic Dentistry

After

6 Veneers

Georgetown Cosmetic Dentistry

Before

Georgetown Cosmetic Dentistry

After

4 Veneers

Georgetown Cosmetic Dentistry

Before

Georgetown Cosmetic Dentistry

After

Changing 2 Crowns

Georgetown Cosmetic Dentistry

Before

Georgetown Cosmetic Dentistry

After

Internal whitening

Georgetown Cosmetic Dentistry

Before

Georgetown Cosmetic Dentistry

After

Teeth Whitening

Georgetown Cosmetic Dentistry

Georgetown Cosmetic Dentistry

Reconstruction of Full Upper Arch

Georgetown Cosmetic Dentistry

Before

Georgetown Cosmetic Dentistry

After

Changing Old Crowns

Georgetown Cosmetic Dentistry

Before

Georgetown Cosmetic Dentistry

After




.

When it comes to achieving a flawless smile, look no further than the expertise of our best cosmetic dentist, Dr Maya Roshan in Washington, DC. Whether you desire veneers for a complete smile makeover or need professional assistance to fix a broken, chipped, or dark tooth, our skilled team is dedicated to providing exceptional results. With years of experience and advanced techniques, we understand that each patient's needs are unique. Trust us to transform your smile into one that exudes confidence and radiance - call us at (202) 785-4141 and schedule an appointment today!

Location

2440 M Street, NW, Suite 328,
Washington, DC 20037

Office Hours

MON - THU8:00 am - 4:00 pm

FRIBy appointments only

SAT - SUNClosed