Book Online

Dental Bonding In Washington, DC

Dental bonding utilizes a strong, tooth-colored resin to “bond” to your teeth. The resin is molded and shaped over your tooth, adding strength, durability, and aesthetic quality.

What Is Dental Bonding?

Dental bonding is a process in which a tooth-colored material is bonded to the tooth. The composite resin is then shaped and polished to create a natural-looking restoration. This can often be completed in just one visit, making it a convenient and cost-effective way to repair teeth that are chipped, stained, or crooked.

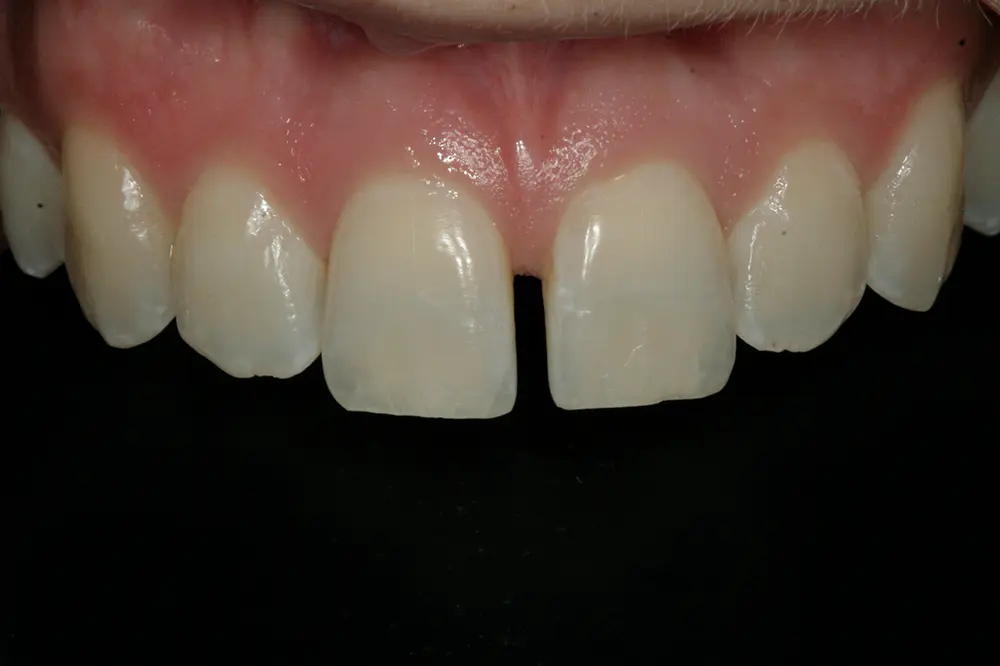
Georgetown Cosmetic Dentistry

Before

Georgetown Cosmetic Dentistry

After

Dental Bonding Procedure

Dental bonding is a quick and painless way to repair minor cosmetic flaws, including chips, cracks, stains, gaps, and misshapen teeth. During the process, we apply a composite resin to the tooth or teeth in question. The resin can be shaped and polished so that it blends in with the surrounding teeth. Once the resin is in place, we can cure it with a light to harden the material. The entire process is completed in just a single visit. You can leave the office with a new smile!

What Are The Advantages of Dental Bonding?

In many cases, patients may choose bonding because they want to save money over veneers or other restorations. While bonding is a less expensive option, it may not last as long as other restorative options, creating a need for replacement in the future. The major advantages offered by dental veneers are as follows:

  • This procedure is less expensive compared to other cosmetic dental procedures, such as porcelain veneers and crowns.
  • Bonding is a relatively quick solution when compared to other cosmetic procedures, such as dental implants, which may require multiple visits to your dentist’s office.
  • Since the bonding material can be shaped and polished to fit in with the rest of your tooth, it’s almost invisible, so people won’t be able to tell that you have had work done on your teeth.
  • This cosmetic procedure is reversible in case you don’t like the way it looks or feels. Your dentist can remove the composite material from your tooth with ease so you can go back to your original look.
  • It can be used as a tooth-colored filling for cavities. It can also be used to fill small gaps between the teeth.
  • If you have chipped or cracked teeth, then this procedure can also be used to cover these imperfections.

To learn more, visit Georgetown Cosmetic Dentistry at 2440 M Street, NW, Suite 328, Washington, DC 20037, or call (202) 785-4141 for the best dental care.

Location

2440 M Street, NW, Suite 328,
Washington, DC 20037

Office Hours

MON - THU8:00 am - 4:00 pm

FRIBy appointments only

SAT - SUNClosed