Book Online

KOR Whitening in Washington, DC

KOR Whitening

Georgetown Cosmetic Dentistry

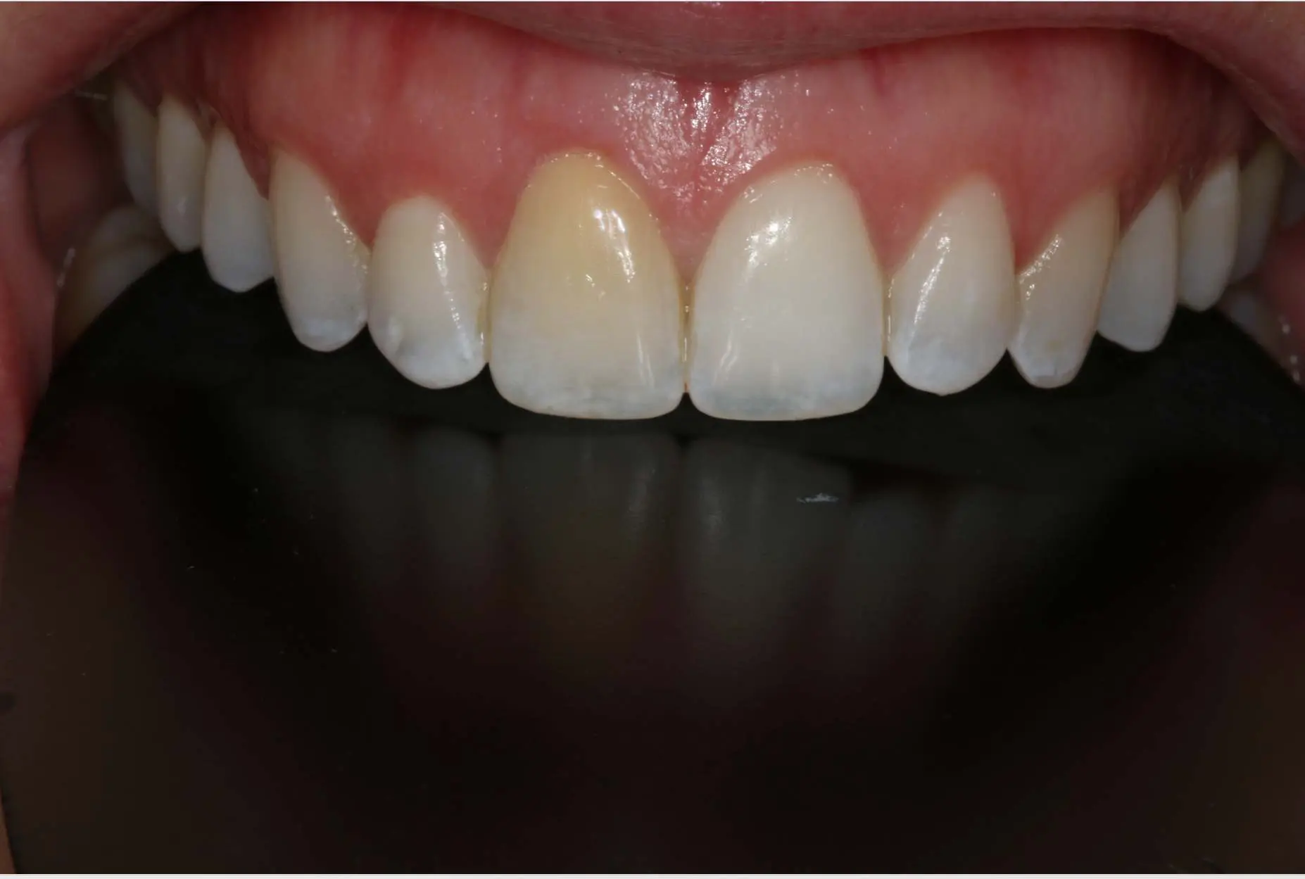
Before

Georgetown Cosmetic Dentistry

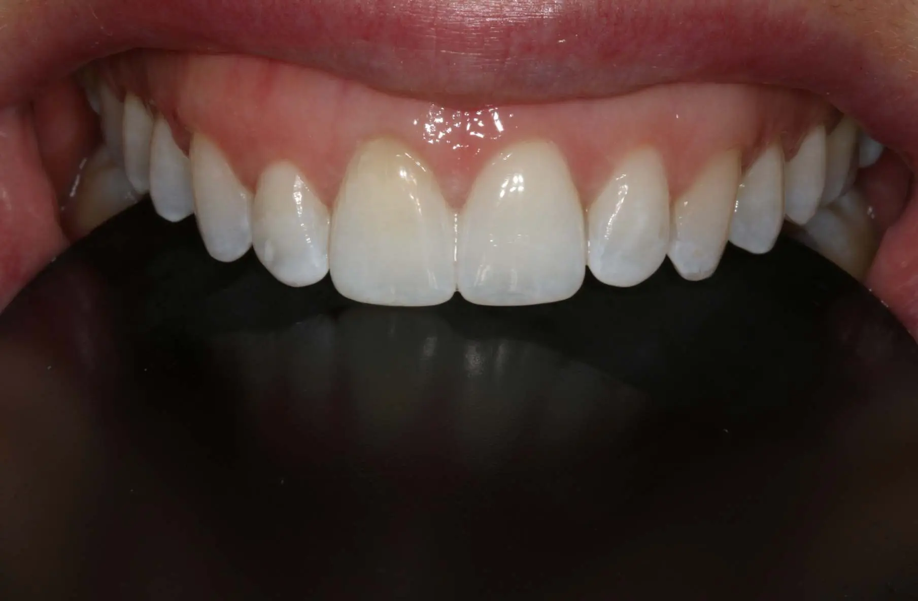
After

Tooth discoloration can be caused by a variety of things, including tobacco use and drinking red wine or coffee excessively. Genetics can also cause teeth to discolor at a younger age. Even certain medications can cause staining. Regardless of the cause, you can greatly improve the brightness of your smile by undergoing a whitening treatment in our office. We offer both in-office and take-home whitening options for patients to choose from. Our in-office treatment can whiten your teeth up to eight shades in one visit!

At Georgetown Cosmetic Dentistry, teeth whitening is a cosmetic procedure that removes stains and discoloration from teeth to improve their appearance. Most patients undergo teeth whitening treatment in their dentist’s office, although some over-the-counter products can achieve acceptable results. Professional in-office teeth whitening is the most effective method of brightening a patient’s smile. 

Types of Teeth Whitening

With Dr. Roshan’s help, you can choose the best type of whitening for you. The fastest way to see results is with in-office treatments. In-office bleaching uses a robust hydrogen peroxide solution to lighten stains from the surface of teeth. It can make your teeth up to ten shades lighter in just one visit. Take-home whitening kits are a less-expensive option that gradually lightens the shade of your teeth over a few weeks. These use a lower concentration of hydrogen peroxide to whiten your smile. Laser treatments are the most expensive alternative and are the fastest option for complete smile makeovers. They remove years of stains in one session and use heat energy to penetrate the teeth and remove discoloration. 

Why Should I Get My Teeth Whitened?

Your teeth change color over time, and that’s completely normal. However, your lifestyle choices can accelerate this change, resulting in stains that can be difficult to remove with daily brushing. Stains can also occur when your teeth are exposed to foods and beverages high in tannins or acids. Coffee, tea, red wine, soft drinks, chocolate, berries, soy sauce, tomatoes, curry sauce, and ketchup can cause staining.

Professional teeth whitening also gives you results you can’t get at home. Professional whitening is also safe for people with sensitive teeth and gums since the bleaching solution is carefully controlled for sensitivity and used only on the parts of the teeth that are exposed during the procedure.

How Does Teeth Whitening Work?

Professional teeth whitening is performed in Dr. Roshan's office and can brighten teeth by up to many shades. The whitening solution is applied to the teeth and activated using a light or laser. Once activated, the peroxide gel breaks down the bonds between the enamel and stains of the tooth structure. Most patients experience little to no sensitivity during the procedure; however, some patients may experience minor irritation immediately following the process. These symptoms can be alleviated with over-the-counter pain relievers such as ibuprofen. Patients can also use toothpaste for sensitive teeth after their procedure to minimize irritation and discomfort.

How Many Shades Will My Teeth Be Brighter After A Teeth Whitening Procedure?

Your teeth will be a few shades whiter after just one in-office treatment, but realistic results depend on many factors. This includes the shade of your teeth before the procedure, your starting shade, and the degree to which you react to the whitening agent. Generally, you can expect to get anywhere from three to ten shades lighter after treatment. This depends on the above factors as well as Dr. Roshan's recommendations.

Plus, keep in mind that the results will be faster than at-home treatments. This is because the gel used at the office contains a higher percentage of hydrogen peroxide than the over-the-counter kits you can buy at the store. This means that it will be able to penetrate deeper and move stains that are deeply embedded in your tooth enamel. However, unlike those OTC toothpaste, this bleaching solution will not cause any tooth sensitivity or gum irritation.

Unfortunately, not everyone can get the same results with whitening, especially if they have intrinsic stains. If you have these types of stains, tooth whitening will not work for you. In such cases, you should talk to Dr. Roshan about cosmetic dental procedures such as veneers that will conceal these permanent stains and improve your smile.

KöR Teeth Whitening - The Most Efficient Whitening Technique In The World

With no use of lights or lasers, KöR is largely regarded as the most efficient whitening technique in the world. It offers at-home whitening for regular patients as well as professional treatments for tetracycline cases to make a solution for all your teeth whitening needs.

The excellent and predictable results are obtained as a result of the combination of continuously refrigerated, high-potency gels and the scientifically designed application protocol. 

Most teeth whitening treatments never offer the promised results - they often lack the effectiveness and longevity of results. Besides, they may also result in tooth sensitivity as well. If you have ever thought teeth whitening is a frustrating experience with quite unpredictable results, KöR teeth whitening treatments are for you. 

Georgetown Cosmetic Dentistry

What Makes KöR Whitening Different?

Intrinsic tooth color is generally caused by large natural pigment and stain molecules that are trapped inside the microstructure of teeth. All peroxide gels used in teeth whitening procedures function by producing hydrogen peroxide as their final byproduct. When hydrogen peroxide is broken down, it yields water, oxygen, as well as many radicals and other "bleaching agents" that lighten teeth. Only when these whitening gels are completely strong and potent, are chemically influenced to produce a significant percentage of free radicals (instead of just oxygen and water), and are given the time to diffuse thoroughly into the microstructure of teeth, can one expect to see optimal whitening outcomes.

According to findings by Clinical Research Associates (CRA) and other studies, the whitening gel in traditional whitening trays is only significantly active for 25 to 35 minutes. This is because saliva quickly contaminates the whitening gel.

The antioxidant enzyme peroxidase is abundant in both saliva and sulcular fluid. A set of upper and lower whitening trays typically contain about 6.5mg of peroxide when filled with whitening gel. 29mg of peroxide can be destroyed by saliva per minute! So, only a very littile contamination of the gel in the trays by saliva can destroy the whitening gel. 

KöR whitening KöR-Seal™ trays lock both saliva and sulcular fluid from getting into the whitening trays. So, in combination with KöR whitening gels, these trays are capable of providing 6 to 10 hours of whitening activity, unlike other systems that offer typical 25-35 minutes of whitening activity. The result is a thorough cleansing of debris from between and within enamel prisms to result in a brighter smile. 

If you want to try whitening but are unsure which option is best for you, visit Georgetown Cosmetic Dentistry at 2440 M Street, NW, Suite 328, Washington, DC 20037, or call (202) 785-4141.

Location

2440 M Street, NW, Suite 328,
Washington, DC 20037

Office Hours

MON - THU8:00 am - 4:00 pm

FRIBy appointments only

SAT - SUNClosed

.